
2017-2022 гг. — Диплом специалиста, Федеральное Государственное бюджетное образовательное учреждение высшего образования «Ивановская государственная медицинская академия» Министерства здравоохранения Российской федерации, г. Иваново, освоил(а) программу специалитета по специальности «Стоматология», решением Государственной экзаменационной комиссии присвоена квалификация «Врач-стоматолог»;
2024г. — Ординатура, Федеральное государственное бюджетное учреждение дополнительного профессионального образования «Центральная государственная медицинская академия» Управления делами Президента Российской Федерации, г. Москва, успешно прошёл(-ла) государственную итоговую аттестацию, протокол № 04 от 19.06.2024, присвоена квалификация врач-стоматолог-ортопед;
2022 г. — Первичная аккредитация, Федеральное государственное бюджетное образовательное учреждение высшего образования «Ивановская государственная медицинская академия» Министерства здравоохранения Российской Федерации, допущен к осуществлению медицинской или фармацевтической деятельности по специальности (направлению подготовки) «Стоматология общей практики». Сертификат действителен 5 лет;
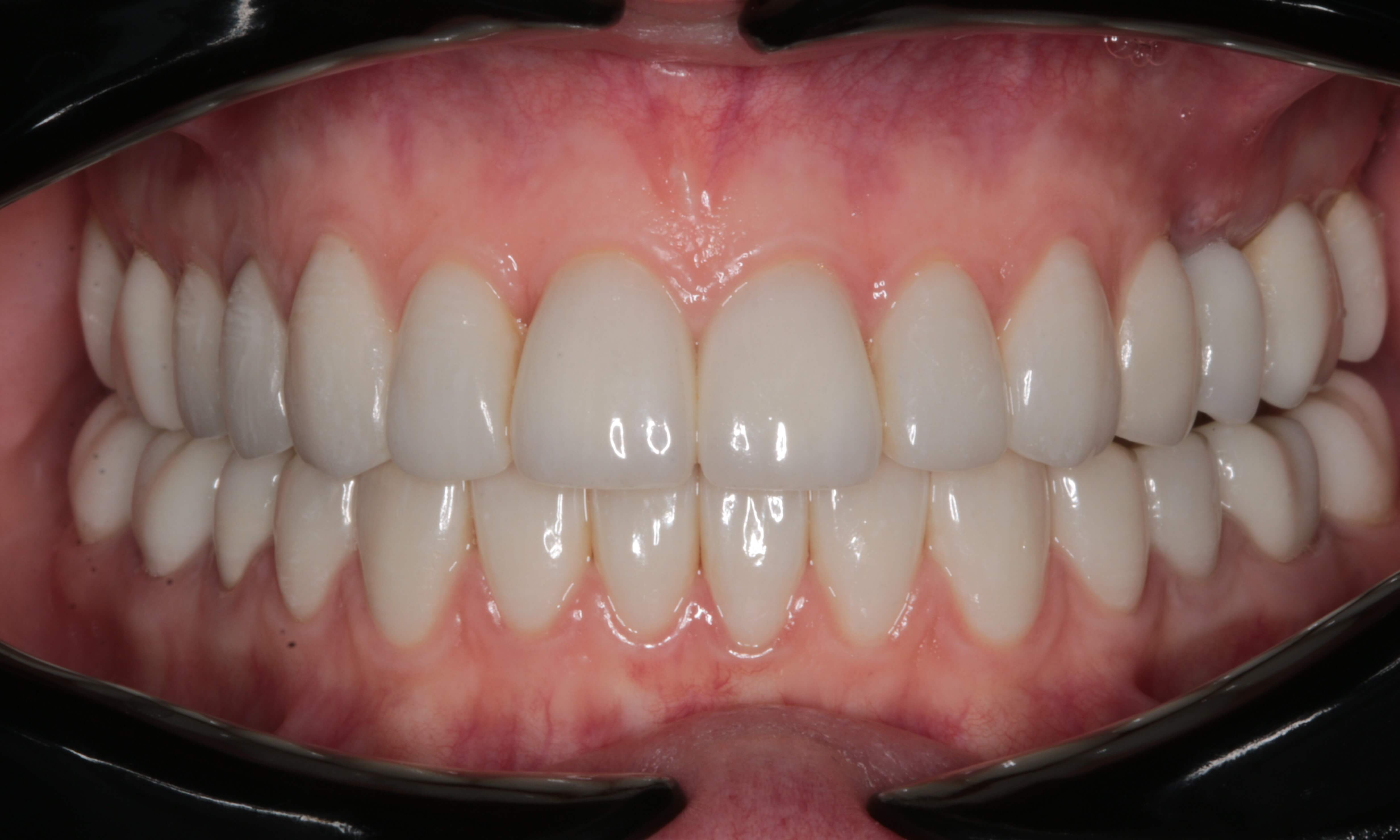
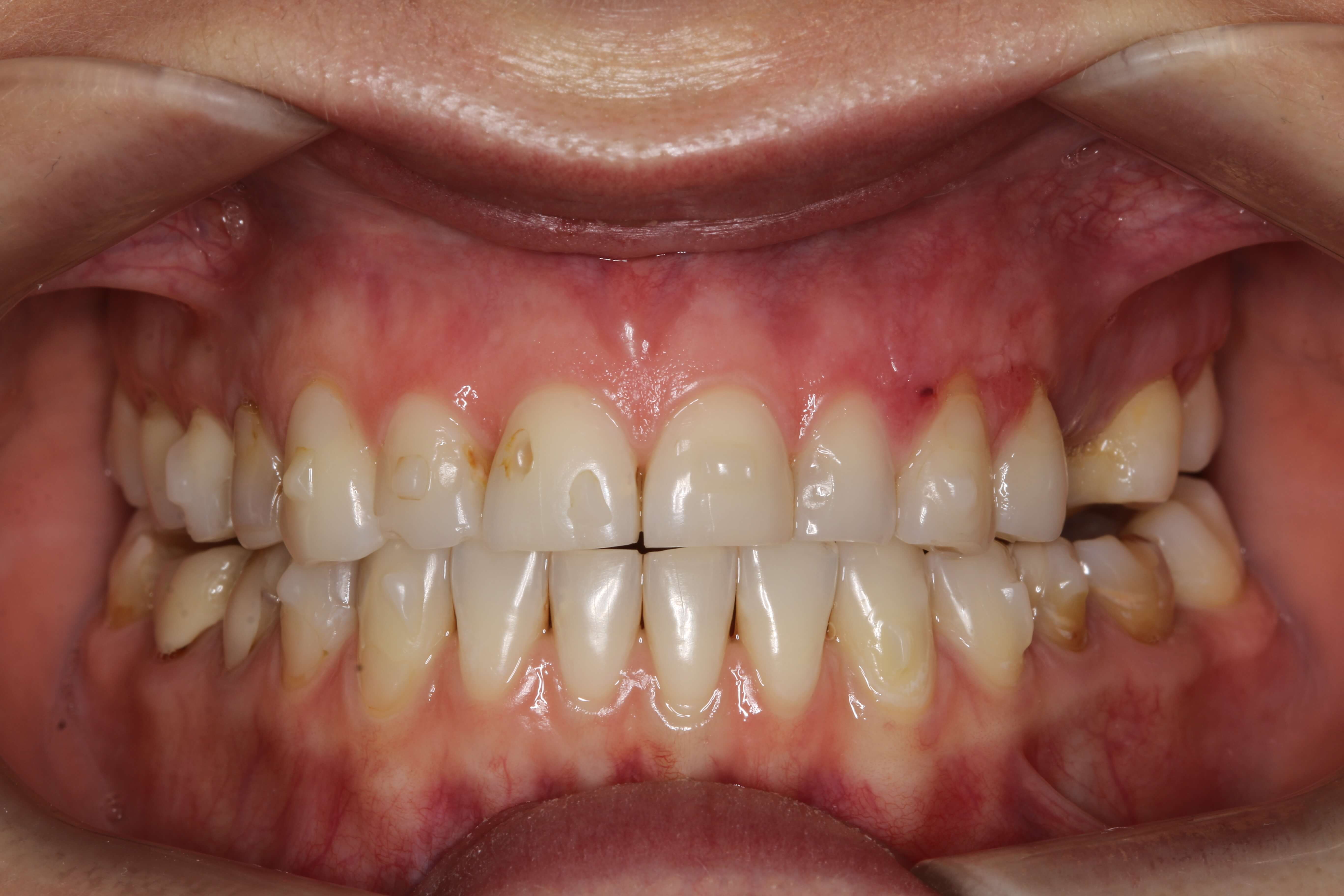
2024 г. — Первичная специализированная аккредитация, Федеральное Государственное Бюджетное Учреждение Дополнительного Профессионального Образования «Центральная Государственная Медицинская Академия» Управления Делами Президента Российской Федерации, г. Москва, допущен к осуществлению медицинской или фармацевтической деятельности по специальности (направлению подготовки) «Стоматология ортопедическая». Сертификат действителен 5 лет.
Владеет современными методиками:
Проведение консультаций и профилактических осмотров.