О клинике
Услуги и цены
Врачи
Контакты
+7 (962) 910-09-95
Записаться
Запись на приём
Website
ФИО
*
Укажите ФИО (минимум 3 символа).
Повод назначения
*
Профессиональная гигиена
Кариес
Острая боль
Имплантация
Коронка
Удаление
Детская стоматология
Телефон
*
Формат: +7 (XXX) XXX-XX-XX или международный.
Введите корректный номер телефона.
ЗАПИСАТЬСЯ
Нажимая кнопку, вы соглашаетесь с обработкой персональных данных.
Айбазова Дарина Локмановна
Стоматолог, стоматолог-терапевт
Специализация
Комплексная услуга: консультация врача-стоматолога
Диагностика, составление плана лечения, совместно с другими специалистами
Проведение профессиональной чистки зубов с помощью ультразвукового аппарата, Air Flow (только взрослые)
Лечение кариеса и не кариозных поражений зубов (взрослые)
Лечение пульпита и периодонтита
Лечение корневых каналов с применением ручных и машинных эндодонтических инструментов у взрослых
Перелечивание корневых каналов, извлечение инструментов из корневых каналов
Пломбирование корневых каналов с использованием гуттаперчи методом одного штифта и латеральной конденсации с обязательным рентгеновским контролем
Извлечение штифтов, вкладок
Художественная реставрация фронтальной и боковой группы зубов, в технике минимально инвазивного препарирования зубов
Лечение под микроскопом
Специализация
лечение кариеса
лечение периодонтита
лечение пульпита
реставрация зубов
снятие зубного камня
эстетическая реставрация зубов
отбеливание зубов Zoom4
Сертификаты и дипломы
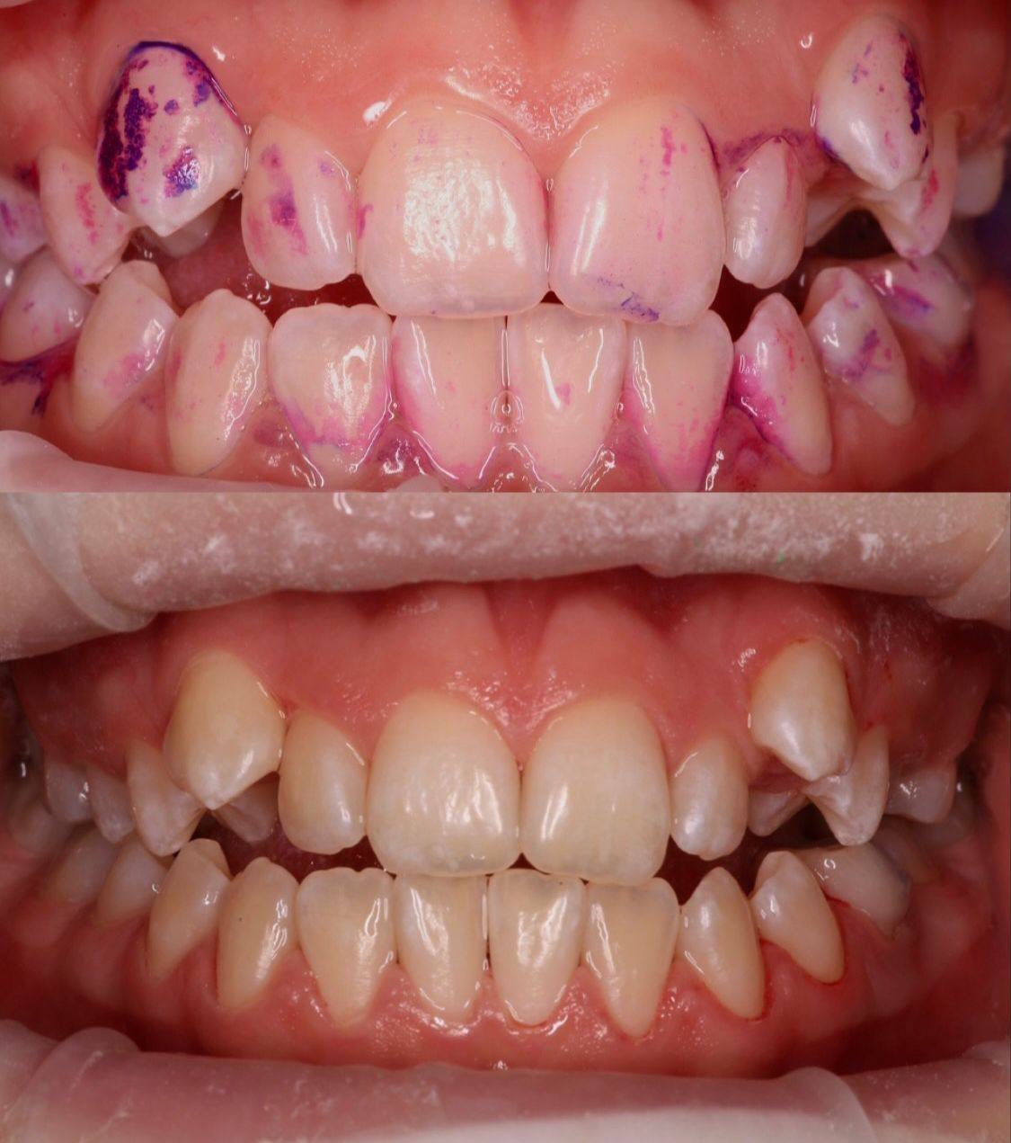
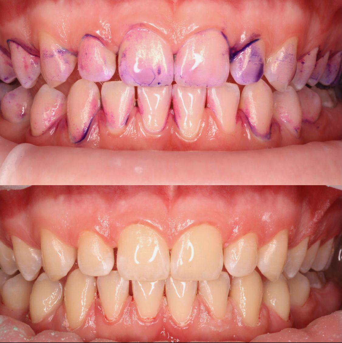
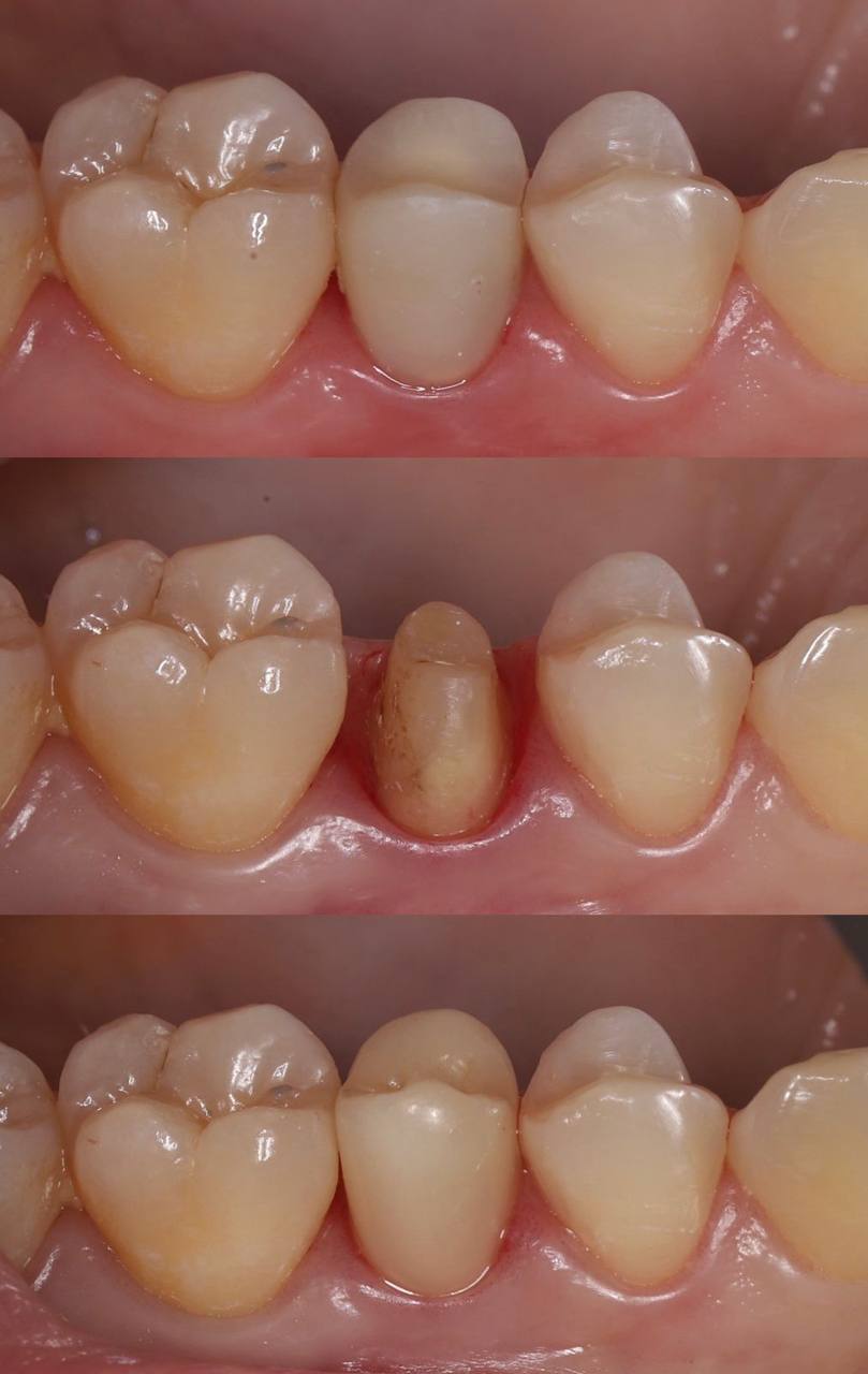
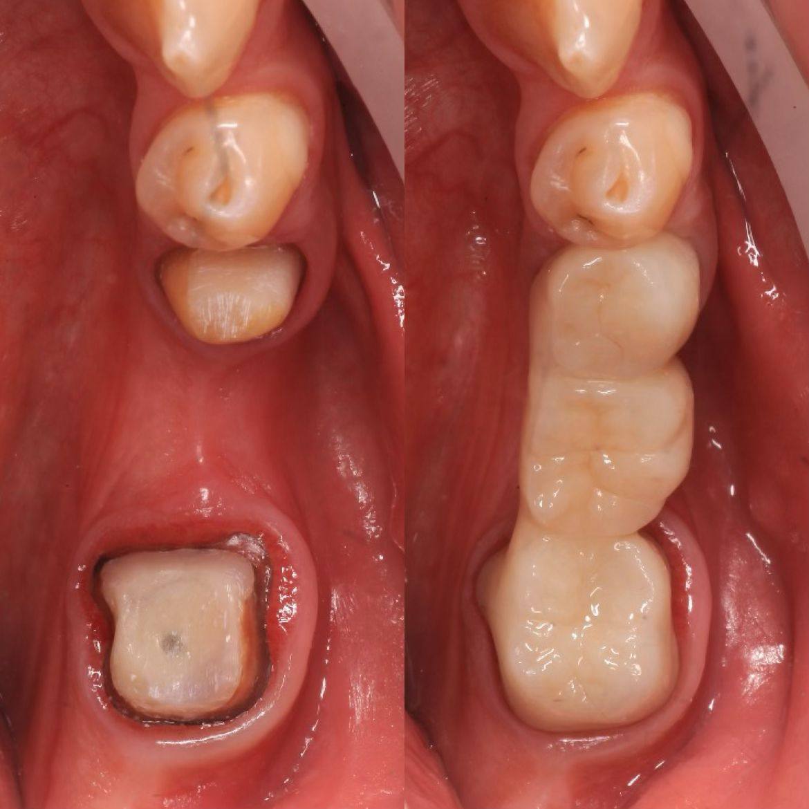
Примеры работ